9VT-D Mini 4D TEE Probe for Pediatrics

The next big step in 4D TEE is making it small enough for pediatric patients.
At a glance

4D TEE for small hearts

30% smaller tip size and 57% smaller tip volume than 6VT-D for patients as small as 5 Kg

A clearer picture

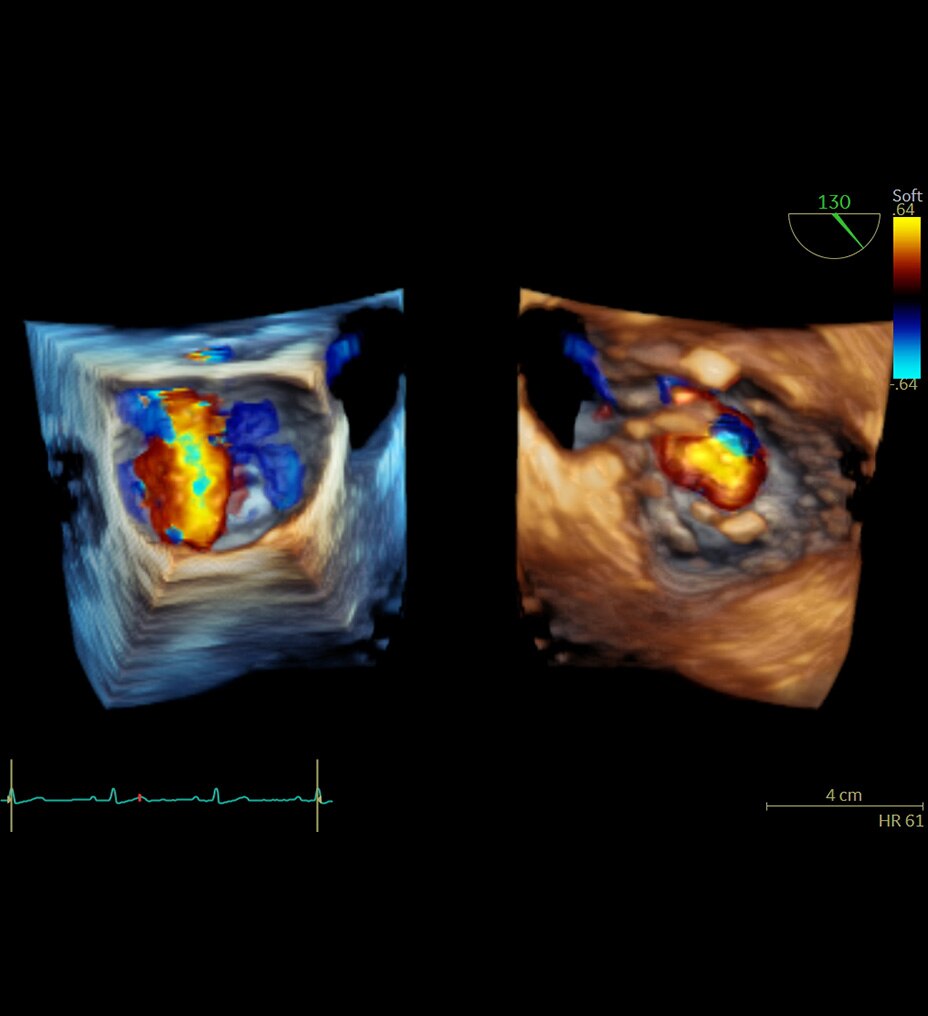
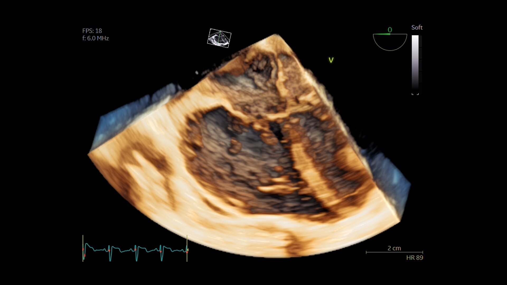
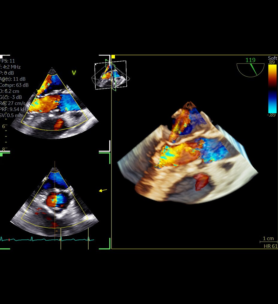
4D imaging capabilities enable clear and realistic visualization of congenital heart defects

Diagnostic confidence

4D imaging helps you to achieve a high level of confidence in functional assessment and pre-surgical planning

Interventional guidance

Optimal image clarity helps enable safe and successful procedures

Two years of proven outcomes

Small solution. Big impact. Advances in miniaturization have enabled the development of the mini 4D TEE (9VT-D), ensuring no compromise on image quality, while potentially improving workflow and setting a new industry standard.
The future of 4D TEE

A breakthrough for pediatric cardiology patients

Limitations in probe size have prevented clinicians from leveraging 4D-TEE imaging until now. The 9VT-D probe* unlocks 4D TEE for the smallest heart patients and reveals a powerful new world of image clarity for pediatric cardiologists.
Tiny probe, huge benefits

9VT-D delivers new and revolutionary imaging possibilities for pediatric cardiac care

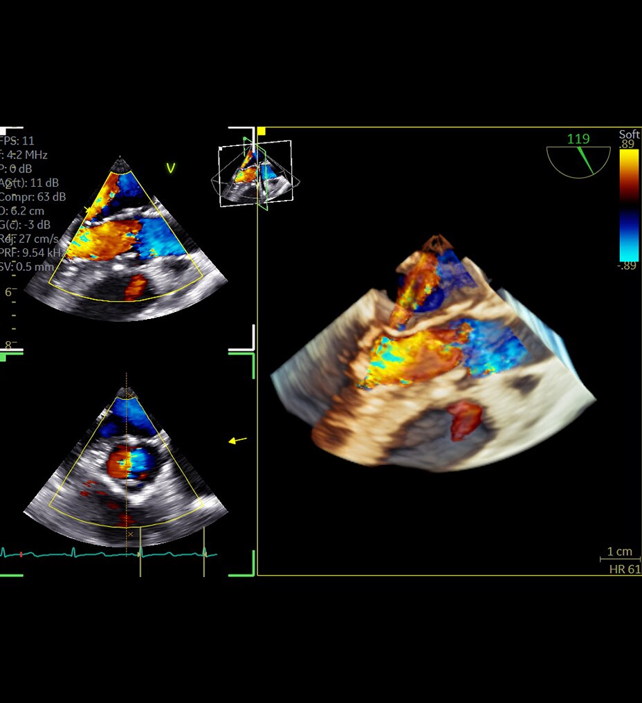
9VT-D gives you access to real-time multiplane and 4D imaging to help improve diagnostic and procedural confidence in patients as small as 5 Kg. Get clear and realistic visualizations of pediatric heart structures with 4D color flow analysis.
Confident CHD diagnosis

Clear and accurate imaging for congenital heart defects enables accurate and proactive diagnosis and care planning

Over 1.5 million babies are born worldwide with congenital heart defects each year⁴, each with different anatomies that may pose their own unique imaging challenges. 9VT-D helps increase the number of pediatric patients who can benefit from 4D TEE diagnosis while obtaining clear images of all anatomy types.
Guiding heart procedures

Better image clarity drives better pediatric patient outcomes

The 9VT-D probe’s revolutionary 4D imaging capabilities offer clearer views of the heart, enhancing both pre-surgical planning and real-time guidance during complex pediatric interventional procedures.
 
Disclaimer
* 9VT-D is exclusively available on Vivid E95 and Vivid E90 with the Ultra Edition release since August 2022.
References
  1. Dr. Pei-Ni Jone is a paid consultant for GE HealthCare and was compensated for participation in the Vivid Magazine article. The statements by Dr. Pei-Ni Jone described here are based on her own opinions and on results that were achieved in her unique setting. Since there is no “typical” hospital/clinical setting and many variables exist, i.e. hospital size, case mix, staff expertise, etc. there can be no guarantee that others will achieve the same results.
  2. Dr. Justin Tretter is a paid consultant for GE HealthCare and was compensated for participation in the Vivid Magazine article. The statements by Dr. Justin Tretter described here are based on his own opinions and on results that were achieved in his unique setting. Since there is no “typical” hospital/clinical setting and many variables exist, i.e. hospital size, case mix, staff expertise, etc. there can be no guarantee that others will achieve the same results.
  3. The statements by Dr. Rosès i Noguer described here are based on his own opinions and on results that were achieved in his unique setting. Since there is no “typical” hospital/clinical setting and many variables exist, i.e., hospital size, case mix, staff expertise, etc. there can be no guarantee that others will achieve the same results.
  4. Birth prevalence of congenital heart disease worldwide: a systematic review and meta-analysis. Van der Linde D et al. J Am Coll Cardiol. 2011 Nov 15;58(21):2241-7. doi: 10.1016/j.jacc.2011.08.025.
Get in touch

Have a question? We would love to hear from you.

JB00649KR